











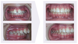
It is clear there is a difference between orthodontics and Zaytoun Orthodontics. Review our before and after braces photos in the Smile Gallery. Each photo is an actual Zaytoun Orthodontic patient. These examples represent all types of common orthodontic problems and results. We achieve exceptional results with treatment options such as braces, Invisalign®, and other orthodontic appliances.