Table of Contents
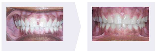
ToggleZaytoun Orthodontics offers decades of experience in fixing “Gap” Teeth – one of the most common orthodontic conditions.

What are the causes of “Gap” Teeth?
As with most common orthodontic conditions, a variety of factors can be responsible for experiencing gaps between teeth. The most typical reasons “Gap” Teeth develop include:
- Abnormal jaw and tooth size
- Missing teeth
- Early childhood tooth loss
- Oral habits such as tongue thrust or prolonged thumb sucking
The gap is usually found between the front teeth, but a gap between teeth can occur anywhere in the mouth.
What issues can be caused by “Gap” Teeth?
If left untreated, the spacing between the gap will usually become more severe over time. At Zaytoun Orthodontics, it’s almost never too early to begin treating this easily fixable condition. The doctors encourage a visit for a complimentary exam by age 7.
Untreated instances of “Gap” teeth can lead to:
- Dental or bite collapse
- Increased risk of gum disease
- A number of other preventable problems
How does Zaytoun Orthodontics correct “Gap” Teeth?
If you or your child is suffering from gaps between permanent teeth, we have different treatment options for your family to choose from. Zaytoun Orthodontics specializes in treating patients with “Gap” Teeth in the Raleigh, Cary, and Garner areas with the following systems:
- Damon System® Braces: The innovative Damon System utilizes a slide mechanism to move teeth into their proper position and close the gap between teeth.
- In-Ovation® Braces: A tie-less system that makes correcting “Gap” Teeth quick and pain-free.
- Other Self-Ligating Braces: Intended for adults, self-ligating braces use a clip method to fix a variety of dental issues, including gap teeth.
- Invisalign: We offer a wide variety of appliances, including Invisalign®, to fix “Gap” Teeth comfortably and efficiently especially in teenagers and adults.
Our skilled family team of orthodontists will help find the best “Gap” Teeth treatment plan for you, based on your preferences and circumstances. If you’re ready to get started, contact one of our smile counselors and set up a free consultation today!

