Table of Contents
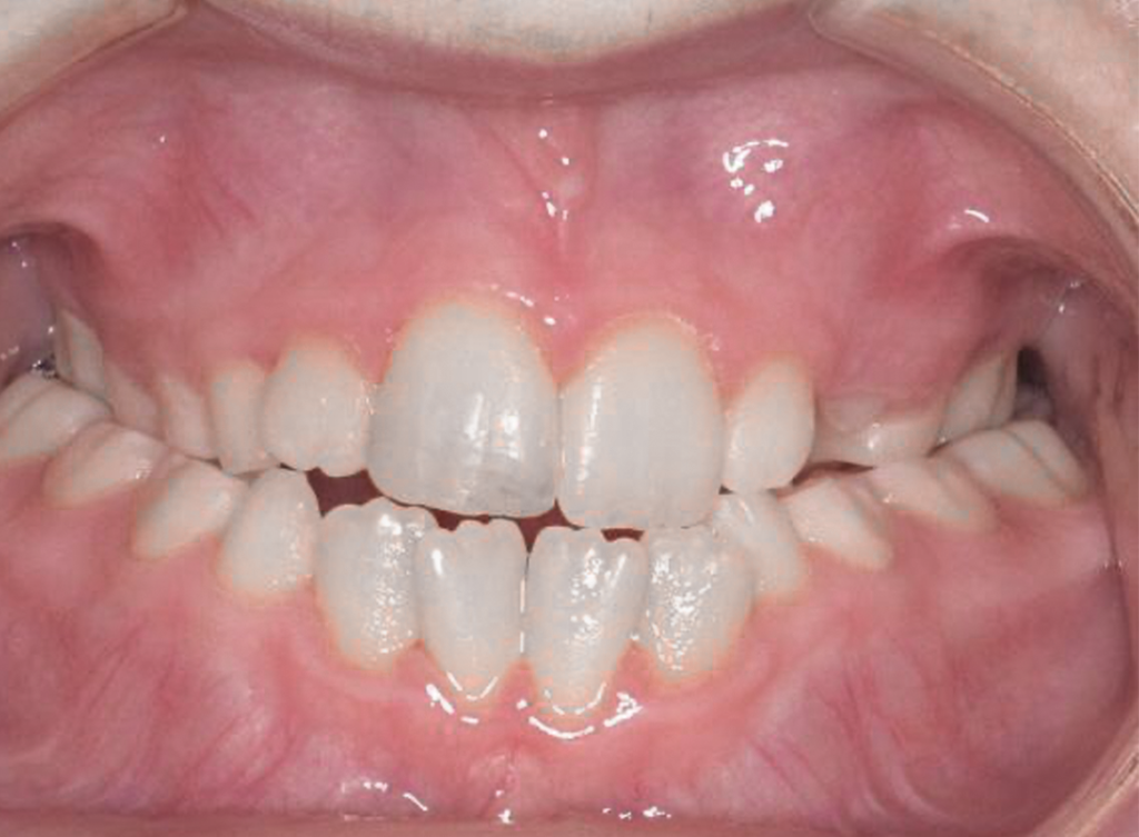
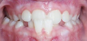
ToggleWhen individuals experience jaw pain while chewing, it may be a result of a crossbite, which occurs when the upper and lower jaws are misaligned. This misalignment can be caused by various factors, such as poor development of the jaw or habits like thumb sucking. Understanding what causes crossbite is crucial in addressing the issue and seeking appropriate treatment.
What Causes Crossbite?
Active thumb or finger sucking, atypical jaw development, airway constriction, and tooth crowding can all cause the condition known as a crossbite. The condition can also be hereditary, so children with a family history of crossbite may be more at risk.
What Can Crossbite cause?
If left untreated, the following can cause crossbite::
- Speech impediments
- Improper emergence of permanent teeth
- Excessive and accelerated tooth wear
- Improper jaw function and positioning
- Asymmetrical facial growth
- TMJ discomfort
Crossbite Jaw Pain
Dealing with a crossbite can often lead to discomfort and jaw pain. This pain arises when your teeth don’t meet properly, causing stress on the jaw muscles and joints. You might notice soreness, especially when chewing or talking, as the misalignment can put extra strain on your temporomandibular joint (TMJ).
If left untreated, this discomfort can escalate, potentially leading to more severe issues like chronic jaw pain, headaches, and even damage to your teeth. Addressing the underlying crossbite early can help alleviate these symptoms and improve your overall oral health.
Effective treatment not only corrects the bite but also helps in alleviating the pain associated with it. .
How Do You Correct Crossbite?
If your child is suffering from crossbite, we have different treatment options for your family to choose from. Zaytoun Orthodontics specializes in the following:
- Damon System® Braces: The Damon System utilizes a slide mechanism to move teeth into their proper position. This innovative system can help to correct crossbite.
- In-Ovation® Braces: A tie-less system that makes achieving a straight smile quick and painless.
- Other Self-Ligating Braces: Made for adults, self-ligating braces use a clip method to fix a variety of dental issues, including crossbite.
- Other Appliances: We proudly offer a wide variety of appliances to alleviate your crossbite comfortably and efficiently.
FAQ’s
How can delayed loss of baby teeth affect the development of a crossbite?
If baby teeth are not lost on time, they can block the proper eruption of adult teeth, potentially resulting in a crossbite.
Can an injury to the face or jaw result in a crossbite?
Yes, trauma to the jaw or face can lead to misalignment of the teeth, which may cause or worsen a crossbite.
Are there any dental procedures that might cause a crossbite?
Improperly designed dental work or DIY clear aligner treatments not properly supervised by a professional can contribute to the development of a crossbite.
Can missing teeth lead to a crossbite?
Yes, missing teeth can create gaps and shift surrounding teeth, potentially resulting in a crossbite.
Do tumors of the mouth or jaw contribute to crossbites?
Tumors can alter the structure of the jaw or mouth, leading to misalignment and crossbites.
Can improperly designed dental appliances cause crossbite?
Yes, dental appliances like retainers or braces that are not correctly fitted can cause teeth to shift incorrectly, resulting in a crossbite.
Conclusion
Our talented team of orthodontists is here to help you find the best crossbite treatment plan tailored to your preferences and circumstances. To get started, simply contact one of our smile counselors and set up a free consultation today.
With offices in Raleigh, Cary, and Garner, Zaytoun Orthodontics stands as one of the Triangle’s leaders in crossbite correction and alleviating associated pain. Early treatment can prevent worsening misalignment and symptoms, so don’t wait to seek expert care.

I’ve been around orthodontics for as long as I can remember with my father opening Zaytoun Orthodontics in 1959. That upbringing of being around my father and watching him change lives through perfecting smiles helped guide me in figuring out what I wanted to do when I grew up, which was to be in the healthcare field. Orthodontics for over 30 years. Joining my father and sister was a thrill for me and something that sets us apart from other orthodontists.



