Is bringing in your young child to see an orthodontist really necessary?

Share This Post

The American Association of Orthodontists recommends that every child be seen by an orthodontist no later than age 7. Why is this? Well it is a matter of monitoring the growth of the teeth and jaw and intercepting problems that are developing before they become more significant.

Typically, these growth and guidance visits are scheduled once or twice a year and they will allow Dr. Mary Paula and Dr. Henry Jr. to monitor changes as your child grows. These observation appointments are always complimentary.

What questions can you expect to be answered at Zaytoun Orthodontics?

  • Are the baby teeth being lost on schedule?
  • Are the permanent teeth coming in symmetrically, in the correct sequence and at the correct time?
  • Are the upper and lower jaws developing properly?
  • Do the permanent teeth have enough room to come in?

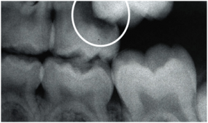
Below is an example of a permanent molar not erupting properly because it is stuck underneath the adjacent baby tooth. Drs. Mary Paula and/or Henry will be able to properly diagnose and recommend an appropriate remedy for this problem.

raleigh orthodontic work

We have a special place for our new young patients at the Zaytoun Orthodontics 7&Up Club. Having your child in the club will allow the doctors and Z-Team to best determine when any type of treatment is most appropriate for your child. There is often an ideal time for treatment to begin if there is an existing or developing issue. Early prevention is the key to putting a stop to more complex problems down the road.

However, treatment does not always mean a child needs braces right away. Treatment could consist of pulling a stubborn baby tooth at the right time, or intervention to help stop a thumb sucking habit. The expertise of the Zaytoun doctors will help you make the best decision on when to start treatment for your child or when treatment is not necessary. Being proactive with your child is the key. The ultimate goal for both Drs. Mary Paula and Henry is to give the kids in the 7 &Up Club a healthy and beautiful smile.

More To Explore