
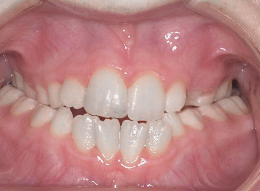
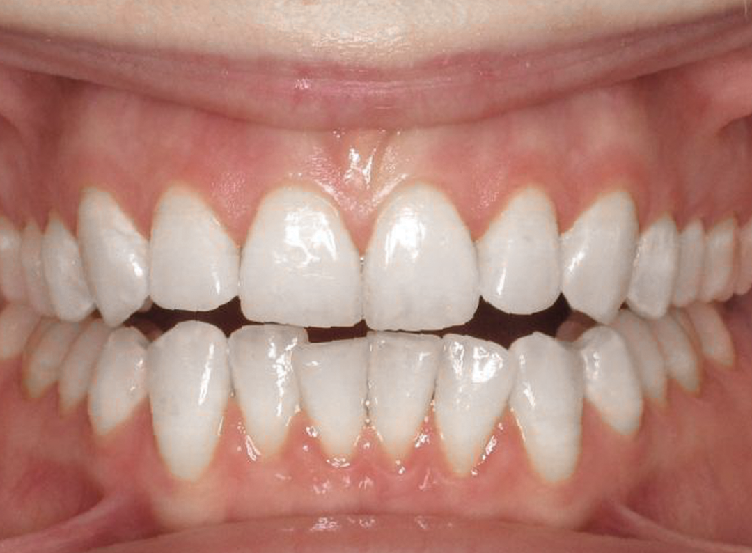
Protruding Teeth (Buck Teeth) – Braces and Invisalign Fixes?
Protruding teeth, often termed buck teeth, can be a source of both physical discomfort and self-consciousness. But why do they happen? The causes are diverse, from genetics to habits like thumb-sucking or prolonged pacifier use.






